
吃猪手呛咳后咳嗽逐渐加重甚至咳血,送医后医生却从肺里取出了草莓味糖果包装袋?一次被遗忘的呛咳,如何潜伏半年变身“呼吸杀手”?广州医科大学附属妇女儿童医疗中心近期接到了这样一个典型病例,值得家长们注意。
从猪手呛咳到“挖出”糖果包装
最近,6岁的乐乐(化名)在用餐吃到一块猪手时突然发生剧烈呛咳。父母回忆,当时他咳到满脸通红,但没有咳出异物。而在之后的几天里,乐乐的咳嗽不仅没有改善,还逐渐加重,甚至咳出血痰,经常感觉“喘不上气”。

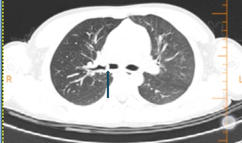
箭头为右主支气管高密度影。
父母带乐乐到一家医院就医,CT检查结果显示,乐乐右主支气管有可疑阴影,右侧肺还有个肺大泡,经评估病情复杂。父母火速将其送到广州医科大学附属妇女儿童医疗中心急诊科。
该院呼吸科总住院医师、杨迪元副主任医师认真查阅了乐乐的胸部CT片后认为,CT上显示的这个阴影位置特殊,一般呼吸道异物不会停留在此。
在追问病史后才得知,原来半年前乐乐吃糖果时曾因误食糖果包装纸而呛咳,当时剧烈咳嗽、呼吸困难,但过了一阵子就缓过来了,因此父母当时没有选择带其就医。
呼吸科团队当机立断,认为必须用可弯曲电子支气管镜深入气道“破案”!据介绍,可弯曲支气管镜镜身最细处只有2.0毫米,因此可以轻松进入宝宝细小气道,高清视野让医生“一目了然”。配套钳子、冷冻探头等,能安全取出气道内的坚果、玩具零件等各种异物。此外,还能灌洗治疗严重肺炎、取活检明确病因、扩张狭窄气道、处理肿物等。
支气管镜下的景象触目惊心:乐乐右主支气管管腔内满是脓性分泌物,且增生的肉芽组织堵塞了右上叶支气管开口。在更深处,一个看似尖锐异物死死堵住了右中间支气管管腔。

支气管镜检查显示右上叶支气管肉芽增生,完全堵塞开口

在呼吸科支气管镜室,张东伟主治医师和叶颖龙主管护师紧密配合,小心清理了分泌物,最终用异物钳成功钳取出异物——竟是一颗草莓味糖果的包装纸!展开测量,长度接近3.5厘米。

异物取出后,乐乐瞬间呼吸顺畅,当晚就睡得安稳香甜,未再咳血,后续只需针对肺部感染进行治疗。
呛咳史=最高级别警报
“没事”可能是假象
广州医科大学附属妇女儿童医疗中心呼吸科专家提醒,无论孩子的呛咳发生在何时,无论当时情况如何,都必须就医排查异物,并明确告诉医生呛咳病史,这往往就是救命的“关键线索”。
值得注意的是,宝宝呛咳后,家长不要因为一时的“没事”而产生侥幸心理。气道中残留的异物会被肉芽包裹“隐形”,像一颗定时炸弹,随时可能导致严重后果,如反复肺炎、咳嗽、咳血,肺不张、肺气肿,长期喘息,甚至窒息风险。
这些行为要绝对禁止
专家提醒,家长应该帮孩子养成在安静、专注的状态下进食的好习惯,并且立即帮宝宝改掉这些危险习惯——
绝对禁止:用嘴撕咬包装袋(尤其是塑料包装)。
吃饭时禁止:奔跑、打闹、大笑、哭闹、说话。
综合自广州日报
嘉正网提示:文章来自网络,不代表本站观点。